2025/11/19
こんにちは。愛知県名古屋市名古屋駅、酒井矯正歯科クリニック、酒井聡です。
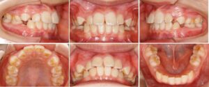
口元突出、正中不一致を主訴とした、大人の矯正治療についてご紹介いたします。
25才女性です。
「出っ歯と顎のゆがみで見た目が気になる」と、相談に来られました。
詳しく調べてみると顎の位置が不安定であった為、まず「顎の位置を安定させる装置(スプリント)」を使って、顎位の安定を図りました。
その後、矯正治療を行いました。
上下左右の4番と8番の歯を抜歯し、マルチブラケット装置(ワイヤーの装置)や上顎に力をかける器具(パラタルバー)を使って、歯列と咬合の改善を図りました。
矯正治療費用:¥990,000
矯正治療期間:3年7ヶ月
矯正治療回数:27回

治療前

治療中

治療後
矯正歯科治療に伴う一般的なリスクや副作用について
2025/09/30
こんにちは。愛知県名古屋市名古屋駅、酒井矯正歯科クリニック、酒井聡です。
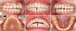
顎関節症を伴う前歯部の叢生及び、臼歯部咬合不全を主訴とした大人の矯正治療について、ご紹介いたします。
21才女性の症例です。
「歯ぎしりや噛みしめがある、顎に違和感がある」と相談に来られました。
詳しく調べてみると顎の位置が不安定であった為、まず「顎の位置を安定させる装置(スプリント)」を使って顎位の安定を図りました。
その後矯正治療を行いました。
上の左右4番と左右8番の歯を抜歯し、マルチブラケット装着(ワイヤーの装置)や上顎に力をかける器具(パラタルバー)、アンカープレートを使って歯列と咬合の改善を図りました。
矯正治療費用:¥1,012,000
矯正治療期間:2年10ヶ月
矯正治療回数:19回

治療前

治療中

治療後
矯正歯科治療に伴う一般的なリスクや副作用について
2025/09/21
こんにちは。愛知県名古屋市名古屋駅、酒井矯正歯科クリニック、酒井聡です。
叢生(デコボコ)、口元突出、口唇閉鎖不全を主訴とした大人の矯正治療についてご紹介いたします。
24才女性の症例です。
「前歯のデコボコが気になる、結婚式までに綺麗にしたい」と相談に来られました。
詳しく調べてみると、顎の位置も不安定であった為、まず「顎の位置を安定させる装置(スプリント)」を使って、顎位の安定を図りました。
その後、矯正治療を行いました。
上下の左右4番の歯を抜歯し、マルチブラケット装置(ワイヤーの装置)や上顎に力をかける器具(パラタルバー)、アンカースクリューを使って歯列と咬合の改善を図りました。
矯正治療費用:¥1,034,000
矯正治療期間:2年7ヶ月
矯正治療回数:19回

治療前

治療中

治療後
矯正歯科治療に伴う一般的なリスクや副作用について