2024/09/30
こんにちは
名古屋市名古屋駅、酒井矯正歯科クリニックです。
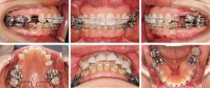
本日は下顎左偏を伴う反対咬合の症例についてご紹介いたします。
17才、女性の症例です。
主訴は、食べ物が前歯で噛み切れないということでした。
歯ぎしりや咬耗が認められたため、初めにスプリント治療を行い顎位の安定化を図りました。
その後、矯正治療を行いました。
歯の排列は、下顎両側大臼歯、小臼歯を抜歯して行いました。
使用した矯正装置は、マルチブラケット装置、アンカースクリューです。
治療後は、前歯で食べ物が噛み切れるようになったことと、横顔を見られることに抵抗がなくなり、
歯を見せて笑えるようになったということです。
矯正治療費用 ; ¥1,034,000
矯正治療期間 : 3年9ヶ月
矯正治療回数 : 40回

矯正治療前

矯正治療中

矯正治療後
矯正歯科治療に伴う一般的なリスクや副作用について
2024/09/06
こんにちは
名古屋市名古屋駅、酒井矯正歯科クリニックです。
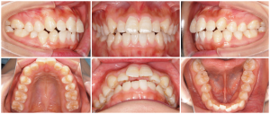
本日は顎関節症を伴う叢生、口元突出の症例についてご紹介いたします。
30才、女性の症例です。
主訴は、見た目の歯並び、上顎両側C(乳歯)が残存していることで、将来抜けた場合どうなるのか?ということでした。
舌圧こんや顎がだるいなど、顎関節症の症状が認められたため、はじめにスプリント治療を行い諸症状の緩和を図りました。
その後、矯正治療を行いました。
歯の排列は、上顎両側C、下顎両側小臼歯を抜歯して行いました。
使用した装置はマルチブラケット装置、アンカースクリューです。
治療後は歯磨きがしやすくなったことと、Eラインが改善されて、歯並びが良くなったね!と言われ、
以前より口元を気にせず笑えるようになったということです。
矯正治療費用 : ¥1,034,000
矯正治療期間 : 2年9ヶ月
矯正治療回数 : 36回

矯正治療前

矯正治療中

治療後
矯正歯科治療に伴う一般的なリスクや副作用について
2024/02/26
こんにちは
名古屋市名古屋駅、酒井矯正歯科クリニックです。
本日は叢生、出っ歯による口唇閉鎖不全の症例についてご紹介いたします。
9才、女の子の症例です。
主訴は、歯がデコボコしている、咬み合わない、出っ歯、いつも口を開けている、ということでした。
歯ぎしりや顎関節の下顎頭後退も認められたため、一期治療として、はじめにスプリント治療を行い、顎位の安定化を図りました。
併せてヘッドギアを装着して、上顎前突の改善を行いながら経過を観察しました。
その後、顎骨成長と永久歯萌出が完了したところで、二期治療として矯正治療を行いました。
歯の排列は、下顎両側小臼歯を抜歯して行いました。
使用した矯正装置は、マルチブラケット装置、ヘッドギア、パラタルバー、アンカースクリューです。
治療後は、ブラッシングがしやすくなったことと、笑いやすくなったということです。
矯正治療費用 ; 一期治療 ¥440,000 二期治療 ¥550,000
矯正治療期間 : 一期治療 3年0ヶ月 二期治療 4年4ヶ月
矯正治療回数 : 一期治療 12回 二期治療 17回

stepI 治療前

stepI 治療中

stepII 治療前

stepII 治療中

治療後
矯正歯科治療に伴う一般的なリスクや副作用について
2024/02/26
こんにちは
名古屋市名古屋駅、酒井矯正歯科クリニックです。
本日は口元突出、口唇閉鎖不全の症例についてご紹介いたします。
19才、男性の症例です。
主訴は、上の前歯が出ていて閉じられない、前歯が噛み合わないということでした。
顎がだるい事など、円板転位を伴う顎関節症の症状が認められたため、始めにスプリント治療を行い、諸症状の緩和を図りました。
その後、矯正治療を行いました。
歯の排列は、上下両側小臼歯を抜歯して行いました。
使用した装置は、マルチブラケット装置です。
治療後は、口を閉じることが出来るようになり、口呼吸をしなくなりました。
また、歯並びに自信を持つことができ、自然と歯を見せて笑えるようになったという事です。
矯正治療費用 : ¥990,000
矯正治療期間 : 3年9ヶ月
矯正治療回数 : 30回

矯正治療前

矯正治療中

矯正治療後
矯正歯科治療に伴う一般的なリスクや副作用について
2024/02/26
こんにちは。
名古屋市名古屋駅、酒井矯正歯科クリニックの酒井聡です。
本日は乳歯の受け口の症例についてご紹介いたします。
7才、女の子の症例です。
主訴は、受け口で前歯が咬み合わず、いつも口を開けているということでした。
下顎頭下方偏位、上顎劣成長、下顎前突が認められ、お父様が高身長であり成長と共に下顎が大きくなる可能性があるため。一期治療として、始めにスプリント治療を行い成長を観察することにしました。
併せて、上顎の長径・幅径短小の改善のため急速拡大装置を装着し、上顎骨の拡大をしてゆきました。
その後、永久歯放出が完了したところで、二期治療として矯正治療を行いました。
歯の排列は非抜歯で行いました。
使用した装置は、ラピッド・エクスバンジョン、クワドヘリックス、パラタルバー、マルチブラケット装置です。
治療後は、アゴのラインがすっっきりしたことと、幼稚園の頃と比べて、笑ってる写真が多くなっている気がするということでした。
矯正治療費用 : 一期治療¥440.000 二期治療¥550.000
矯正治療期間 : 一期治療 7年7ヶ月 二期治療 1年7ヶ月
矯正治療回数 : 一期治療 15回 二期治療 10回
stepI 治療前
stepI 治療中
step II 治療前
step II 治療中
治療後
矯正歯科治療に伴う一般的なリスクや副作用について