2025/05/19
こんにちは。愛知県名古屋市名古屋駅、酒井矯正歯科クリニック、酒井聡です。
叢生(デコボコ)を主訴とした子どもの矯正治療についてご紹介いたします。
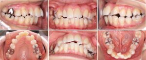
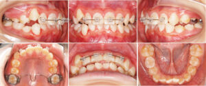
10才女子の症例です。
「歯並びがガタガタして気になる」「食事の時にうまく嚙み切る事ができない」と相談に来られました。
詳しく調べてみると、顎の位置も不安定で頭痛なども認められたため、まず顎の位置を安定させる装置(スプリント)を使って症状の緩和を図りました。
その後、矯正治療を行いました。
一期治療では、上下の顎の成長のコントロールと、右上犬歯の埋伏歯(顎の骨の中に埋まったまま生えてこない歯)が生えてくるためのサポートをしました。
二期治療では、開咬(噛んだ時の上下の前歯の隙間)と叢生(デコボコ)の状態を良くするために、上の歯の小臼歯を抜いて歯を並べるスペースを作りました。
そして歯並びを整えるためにワイヤーの装置や、顎に力をかけるパラタルバー、アンカースクリューを使いました。
矯正治療費用:一期治療 ¥420,000 二期治療 ¥432,000
矯正治療期間:一期治療 3年10ヶ月 二期治療 2年10ヶ月
矯正治療回数:一期治療 14回 二期治療 15回

治療前

一期治療中

二期治療中

治療後
矯正歯科治療に伴う一般的なリスクや副作用について
2025/04/21
こんにちは。愛知県名古屋市名古屋駅、酒井矯正歯科クリニック、酒井聡です。
叢生(デコボコ)、上顎前突(出っ歯)を主訴とした子どもの矯正治療についてご紹介いたします。
6才女子の症例です。
歯並びがガタガタしているのが気になる、食事の時に食べ物が歯に挟まりやすい、と相談に来られました。
詳しく検査したところ、顎の位置が不安定だったため、まず「顎の位置を安定させる装置(スプリント)」を使って顎位の安定を図りました。
その後、矯正治療を行いました。
一期治療では、まだ顎の骨が成長途中なので「ヘッドギア」と呼ばれる特別な装置で、顎の成長をコントロールし、乳歯から永久歯への生え変わりがスムーズになるようサポートしました。
二期治療では、叢生(デコボコ)上顎前突(出っ歯)の改善のために小臼歯を抜歯して、歯を並べるスペースを作りました。
そして、さらにきれいに歯並びを整えるため、マルチブラケット装置(ワイヤーの装置)や上顎に力をかける器具(パラタルバー)を使いました。
治療後は、歯並びがきれいになって自信を持って笑えるようになりました。食事の時も、食べ物が挟まりにくくなり、ご家族にもとても喜んでいただきました。
矯正治療費用:一期治療 ¥420,000 二期治療 ¥430,000
矯正治療期間:一期治療 1年5ヶ月 二期治療 3年8ヶ月
矯正治療回数:一期治療 8回 二期治療 20回

治療前

一期治療中

二期治療中

治療後
矯正歯科治療に伴う一般的なリスクや副作用について
2025/03/28
こんにちは。愛知県名古屋市名古屋駅酒井矯正歯科クリニック、酒井聡です。
下顎前突(受け口)、上顎前歯の捻転(ねじれ)を主訴とした大人の矯正治療についてご紹介いたします。
32才、男性の症例です。
主訴は、下の顎が出ている、前歯のかみ合わせ、前歯がねじれていて気になるということでした。
主訴の他に、顎位不安定、顎の痛みやだるさなども認められたため、スプリント治療を行いました。
その後、外科的矯正治療を行うための術前矯正治療として、歯列弓の改善を行いました。
準備が整ったところで顎手術を行い、機能的咬合を確立するための術後矯正治療を行いました。
歯の排列は、上下左側の親知らずを抜歯して行いました。
使用した装置は、マルチブラケット装置です。
治療後は、見た目も噛み合わせもとても良くなり、顎の痛みがなくなったということです。
顎手術内容 :上下顎同時移動術・オトガイ形成術
手術入院期間:2週間
矯正治療費用:保険適用
矯正治療期間:2年11ヶ月
矯正治療回数:27回

矯正治療前

術前矯正治療中

手術前

術後矯正治療後
矯正歯科治療に伴う一般的なリスクや副作用について
2025/01/17
こんにちは。愛知県名古屋市名古屋駅酒井矯正歯科クリニックです。下顎正中離開(すきっ歯)、下顎右偏を主訴とした大人の矯正治療について
ご紹介いたします。
19才、女性の症例です。
主訴は、下の歯のすきっ歯と、顔の形が気になるということでした。
主訴の他に、顎位不安定、こめかみ痛、食いしばりなども認められたため、スプリント治療を行い諸症状の緩和を図りました。
その後、矯正治療を行いました。
歯の排列は、上顎両側の親知らずと小臼歯を抜歯して行いました。
使用した装置は、マルチブラケット装置、アンカースクリューです。
治療後は、食いしばりが無くなり顎が楽になった、周りの人に“綺麗になったね”と褒めてもらえたということです。
矯正治療費用:¥1,013,000
矯正治療期間:2年7ヶ月
矯正治療回数:26回

矯正治療前

矯正治療中

矯正治療後
矯正歯科治療に伴う一般的なリスクや副作用について
2025/01/17
こんにちは。愛知県名古屋市名古屋駅酒井矯正歯科クリニックです。口元突出、前歯の捻転(捻れ)を主訴とした大人の矯正治療についてご紹介いたします。
20才、女性の症例です。
主訴は、前歯が捻れている、上唇が出ていて見た目にコンプレックスを持っているということでした。
主訴の他に、顎位不安定、頭痛、歯ぎしりなども認められたため、スプリント治療を行い諸症状の緩和を図りました。
その後、矯正治療を行いました。
歯の排列は、上下両側小臼歯を抜歯して行いました。
使用した装置は、マルチブラケット装置、パラタルバーです。
治療後は、歯磨きがしやすくなった、外見のコンプレックスがなくなり気持ちが楽になったということです。
矯正治療費用:¥990,000
矯正治療期間:2年8ヶ月
矯正治療回数:23回

矯正治療前

矯正治療中

矯正治療後
矯正歯科治療に伴う一般的なリスクや副作用について