2025/09/21
こんにちは。愛知県名古屋市名古屋駅、酒井矯正歯科クリニック、酒井聡です。
叢生(デコボコ)、口元突出、口唇閉鎖不全を主訴とした大人の矯正治療についてご紹介いたします。
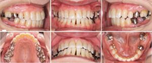
24才女性の症例です。
「前歯のデコボコが気になる、結婚式までに綺麗にしたい」と相談に来られました。
詳しく調べてみると、顎の位置も不安定であった為、まず「顎の位置を安定させる装置(スプリント)」を使って、顎位の安定を図りました。
その後、矯正治療を行いました。
上下の左右4番の歯を抜歯し、マルチブラケット装置(ワイヤーの装置)や上顎に力をかける器具(パラタルバー)、アンカースクリューを使って歯列と咬合の改善を図りました。
矯正治療費用:¥1,034,000
矯正治療期間:2年7ヶ月
矯正治療回数:19回

治療前

治療中

治療後
矯正歯科治療に伴う一般的なリスクや副作用について
2025/09/21
こんにちは。愛知県名古屋市名古屋駅、酒井矯正歯科クリニック、酒井聡です。
口元突出、口唇閉鎖不全(口唇がうまく閉じれない)を主訴とした大人の矯正治療についてご紹介いたします。
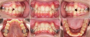
19才女性の症例です。
「前歯が出ていてうまく物が噛めない、見た目がコンプレックス」と相談に来られました。
詳しく調べてみると、顎の位置も不安定であったため、まず「顎の位置を安定させる装置(スプリント)」を使って、顎位の安定を図りました。
その後、矯正治療を行いました。
上下の左右4番の歯を抜歯し、マルチブラケット装置(ワイヤーの装置)や上顎に力をかける器具(パラタルバー)、アンカープレートを使って歯列と咬合の改善を図りました。
矯正治療費用:¥1,034,000
矯正治療期間:1年11ヶ月
矯正治療回数:15回

治療前

治療中

治療後
矯正歯科治療に伴う一般的なリスクや副作用について
2025/08/21
こんにちは。愛知県名古屋市名古屋駅、酒井矯正歯科クリニック、酒井聡です。
下顎前突(受け口)と叢生(デコボコ)を主訴とした子どもの矯正治療について、ご紹介いたします。
11才女子の症例です。
「受け口と、上の前歯のデコボコが気になる」と相談に来られました。
詳しく調べてみると、顎の位置も不安定であったため、まず「顎の位置を安定させる装置(スプリント)」を使って、顎位の安定を図りました。
その後、矯正治療を行いました。
上の歯の左右4番と下の歯の左右5番の歯を抜歯し、マルチブラケット装置(ワイヤーの装置)や上顎に力をかける器具(パラタルバー)を使って、歯列と咬合の改善を図りました。
矯正治療費用:¥990,000
矯正治療期間:3年5ヶ月
矯正治療回数:22回

治療前

治療中

治療後
矯正歯科治療に伴う一般的なリスクや副作用について
2025/08/21
こんにちは。愛知県名古屋市名古屋駅、酒井矯正歯科クリニック、酒井聡です。
先天性欠損(生まれつきの歯の欠損)、萌出困難(歯がうまく出てこない)を伴う開口を主訴とした子どもの矯正治療についてご紹介いたします。
12才男子の症例です。
「かかりつけの歯科医院で治療を受けたところ、歯が生えてこない場所が見つかった」と、相談に来られました。
詳しく調べてみると顎の位置も不安定であったため、まず「顎の位置を安定させる装置(スプリント)」を使って、顎位の安定を図りました。
その後、矯正治療を行いました。
左下の乳歯のEを抜歯して永久歯が生えてくるためのスペースを残しました。
上下の歯列にマルチブラケット装置(ワイヤーの装置)と、上顎に力をかける器具(パラタルバー)をつけて、歯列と咬合の改善を図りました。
矯正治療費用:¥990,000
矯正治療期間:2年7ヶ月
矯正治療回数:15回

治療前

治療中

治療後
矯正歯科治療に伴う一般的なリスクや副作用について
2025/06/17
こんにちは。愛知県名古屋市名古屋駅、酒井矯正歯科クリニック、酒井聡です。
先天性欠損(生まれつきの歯の欠損)、叢生(デコボコ)を主訴とした子どもの矯正治療についてご紹介いたします。
7才女子の症例です。
「生まれつき下の前歯が欠損している」「顎が小さいので歯並びが気になる」と相談に来られました。
詳しく調べてみると、顎の位置も不安定であったため、まず「顎の位置を安定させる装置(スプリント)」を使って顎位の安定を図りました。
その後、矯正治療を行いました。
一期治療では、顎の骨の中で永久歯が大きくなり萌出するスペースが足りないため、永久歯が良い場所に萌出するためのサポートを行いました。
二期治療では、永久歯を萌出しましたが、歯が大きく、叢生(デコボコ)が認められたため、ワイヤーの装置や顎に力をかけるパラタルバー、アンカースクリューを使って、
歯列と咬合の改善を図りました。
矯正治療費用:一期治療 ¥420,000 二期治療 ¥427,800
矯正治療期間:一期治療 4年6ヶ月 二期治療 2年5ヶ月
矯正治療回数:一期治療 16回 二期治療 14回

治療前

一期治療中

二期治療中

治療後
矯正歯科治療に伴う一般的なリスクや副作用について