2024/02/26
こんにちは
名古屋市名古屋駅、酒井矯正歯科クリニックです。
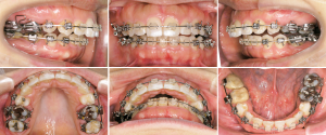
本日は口元突出、口唇閉鎖不全の症例についてご紹介いたします。
19才、男性の症例です。
主訴は、上の前歯が出ていて閉じられない、前歯が噛み合わないということでした。
顎がだるい事など、円板転位を伴う顎関節症の症状が認められたため、始めにスプリント治療を行い、諸症状の緩和を図りました。
その後、矯正治療を行いました。
歯の排列は、上下両側小臼歯を抜歯して行いました。
使用した装置は、マルチブラケット装置です。
治療後は、口を閉じることが出来るようになり、口呼吸をしなくなりました。
また、歯並びに自信を持つことができ、自然と歯を見せて笑えるようになったという事です。
矯正治療費用 : ¥990,000
矯正治療期間 : 3年9ヶ月
矯正治療回数 : 30回

矯正治療前

矯正治療中

矯正治療後
矯正歯科治療に伴う一般的なリスクや副作用について
2024/02/26
こんにちは。
名古屋市名古屋駅、酒井矯正歯科クリニックの酒井聡です。
本日は乳歯の受け口の症例についてご紹介いたします。
7才、女の子の症例です。
主訴は、受け口で前歯が咬み合わず、いつも口を開けているということでした。
下顎頭下方偏位、上顎劣成長、下顎前突が認められ、お父様が高身長であり成長と共に下顎が大きくなる可能性があるため。一期治療として、始めにスプリント治療を行い成長を観察することにしました。
併せて、上顎の長径・幅径短小の改善のため急速拡大装置を装着し、上顎骨の拡大をしてゆきました。
その後、永久歯放出が完了したところで、二期治療として矯正治療を行いました。
歯の排列は非抜歯で行いました。
使用した装置は、ラピッド・エクスバンジョン、クワドヘリックス、パラタルバー、マルチブラケット装置です。
治療後は、アゴのラインがすっっきりしたことと、幼稚園の頃と比べて、笑ってる写真が多くなっている気がするということでした。
矯正治療費用 : 一期治療¥440.000 二期治療¥550.000
矯正治療期間 : 一期治療 7年7ヶ月 二期治療 1年7ヶ月
矯正治療回数 : 一期治療 15回 二期治療 10回
stepI 治療前
stepI 治療中
step II 治療前
step II 治療中
治療後
矯正歯科治療に伴う一般的なリスクや副作用について
2024/02/18
こんにちは。
名古屋市名古屋駅、酒井矯正歯科クリニックの酒井聡です。
本日は顎関節症、上顎骨の後退・下顎骨の前突を伴う顔面非対称、開咬の症例についてご紹介いたします。
16才、男性の症例です。
主訴は、顎のずれ、ゆがみということでした。
顎関節に開口時、クリック音(ガクッとする音)が認められたため、スプリント治療を行い、顎位の安定化を図りました。
その後、外科的矯正治療を行うための術前矯正治療として、前歯の唇側傾斜、叢生、歯列弓の改善を行いました。
準備が整った所で外科手術を行い、機能的咬合を確立するため術後矯正治療を行いました。
歯の排列は、上顎両側小臼歯を抜歯して行いました。
使用した矯正装置は、マルチブラケット装置、パラタルバーです。
治療後は、左右非対称だった顎がほぼ対称になり、顔つきが変わっただけでなく食べ物が噛みやすかったり、笑顔を自然とできるようになったということです。
矯正治療費用 : 保険適用
矯正治療期間 : 5年5ヶ月
矯正治療回数 : 28回
矯正治療前
術前矯正治療中
手術前
術後矯正治療後
矯正歯科治療に伴う一般的なリスクや副作用について
2024/02/03
こんにちは。
名古屋市名古屋駅、酒井矯正歯科クリニックの酒井聡です。
本日は下顎左偏を伴う叢生の症例についてご紹介いたします。
53才、女性の症例です。
主訴は、歯がデコボコしていて磨きづらい、右側で噛んで顎が疲れるということでした。
顎がだるい事と、後頭部痛・肩こりなど、顎関節症の症状が認められたため、始めにスプリント治療を行い諸症状の緩和を図りました。
その後、矯正治療を行いました。
歯の排列は、上顎右側小臼歯と下顎両側小臼歯を抜歯して行いました。
使用した装置は、マルチブラケット装置、アンカースクリューです。
治療後は、頭痛や肩こりが少なくなり、顎が疲れなくなったのでよく噛んで食べれるようになったという事です。
矯正治療費用 : ¥1.034,000
矯正治療期間 : 2年4ヶ月
矯正治療回数 : 24回
矯正治療前
矯正治療中
治療後
矯正歯科治療に伴う一般的なリスクや副作用について
2024/01/10
こんにちは。
名古屋市名古屋駅、酒井矯正歯科クリニックの酒井聡です。
本日は上顎前突、過蓋咬合の症例についてご紹介いたします。
8才、男の子の症例です。
一般歯科の検診で過蓋咬合の可能性があると言われて当院を受診され、
主訴は、前歯が出ていることが気になるということでした。
下顎頭の後方位と平坦化が認められたため、スプリント治療を主に行い、顎位の安定化を図りました。
その後14才になり、成長を見るための資料を採得し、矯正治療を行うことになりました。
歯の排列は、上顎両側小臼歯を抜歯して治療を行いました。
使用した装置は、マルチブラケット装置、パラタルバーです。
治療後は、歯の隙間がなくなり、全体の歯並びもきれいになったので見た目が良くなり、かみ合わせが改善されて、将来的な健康面でも良かったということです。
矯正治療費用 : STEP I ¥440,000 、STEP II ¥550,000
矯正治療期間 : 4年3ヶ月(STEP I の期間は除く)
治療前
矯正治療前
治療中
治療後
矯正歯科治療に伴う一般的なリスクや副作用について