2026/01/19
こんにちは。愛知県名古屋市名古屋駅、酒井矯正歯科クリニック、酒井聡です。
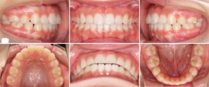
上顎前突(出っ歯)、正中離開(すきっ歯)を主訴とした大人の矯正治療についてご紹介いたします。
42才女性です。
「奥歯で噛みづらい、前歯の噛み合わせとすきっ歯が気になる」と相談に来られました。
詳しく調べてみると、顎の位置が不安定であった為、まず「顎の位置を安定させる装置(スプリント)」を使って顎位の安定を図りました。
その後、矯正治療を行いました。
マルチブラケット装置(ワイヤーの装置)や上顎に力をかける器具(パラタルバー)、アンカープレートを使って、歯列と咬合の改善を図りました。
矯正治療費用:1,034,000
矯正治療期間:2年11ヶ月
矯正治療回数:20回

治療前

治療中

治療後
矯正歯科治療に伴う一般的なリスクや副作用について
2025/11/19
こんにちは。愛知県名古屋市名古屋駅、酒井矯正歯科クリニック、酒井聡です。
口元突出、正中不一致を主訴とした、大人の矯正治療についてご紹介いたします。
25才女性です。
「出っ歯と顎のゆがみで見た目が気になる」と、相談に来られました。
詳しく調べてみると顎の位置が不安定であった為、まず「顎の位置を安定させる装置(スプリント)」を使って、顎位の安定を図りました。
その後、矯正治療を行いました。
上下左右の4番と8番の歯を抜歯し、マルチブラケット装置(ワイヤーの装置)や上顎に力をかける器具(パラタルバー)を使って、歯列と咬合の改善を図りました。
矯正治療費用:¥990,000
矯正治療期間:3年7ヶ月
矯正治療回数:27回

治療前

治療中

治療後
矯正歯科治療に伴う一般的なリスクや副作用について
2025/09/30
こんにちは。愛知県名古屋市名古屋駅、酒井矯正歯科クリニック、酒井聡です。
顎関節症を伴う前歯部の叢生及び、臼歯部咬合不全を主訴とした大人の矯正治療について、ご紹介いたします。
21才女性の症例です。
「歯ぎしりや噛みしめがある、顎に違和感がある」と相談に来られました。
詳しく調べてみると顎の位置が不安定であった為、まず「顎の位置を安定させる装置(スプリント)」を使って顎位の安定を図りました。
その後矯正治療を行いました。
上の左右4番と左右8番の歯を抜歯し、マルチブラケット装着(ワイヤーの装置)や上顎に力をかける器具(パラタルバー)、アンカープレートを使って歯列と咬合の改善を図りました。
矯正治療費用:¥1,012,000
矯正治療期間:2年10ヶ月
矯正治療回数:19回

治療前

治療中

治療後
矯正歯科治療に伴う一般的なリスクや副作用について