酒井矯正歯科クリニックブログ

酒井矯正歯科クリニックブログ

愛知(名古屋・名古屋市)の矯正歯科・矯正なら仕上がりの美しい酒井矯正歯科クリニック

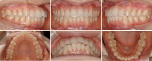
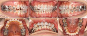
開咬の症例

開咬の症例

 

初診時年齢14歳6ヶ月女性の症例。

主訴は、前歯で物が咬めない、唇が突出しているということでした。

スプリント治療で顎位を安定させてから、矯正治療を行いました。

歯の排列は、上下両側小臼歯を抜歯して治療を行いました。

矯正治療に使用した装置は、マルチブラケット装着とアンカープレートです。

 

矯正治療費用:¥990,000

矯正治療期間:2年9ヶ月

 

 治療前

 

 矯正治療中

 

 治療後

 

 

 

 

 

矯正歯科治療に伴う一般的なリスクや副作用について

  • 最初は矯正治療による不快感、痛み等があります。数日間〜1、2週間で慣れることが多いです。
  • 歯の動き方には個人差があります。そのため、予想された治療期間が延長する可能性があります。
  • 装置の利用状況、顎関ゴムの利用状況、定期的な通院等、矯正治療には患者様の協力が非常に重要であり、それらが治療結果や治療期間に影響します。
  • 治療中は、装置がついているため歯が磨きにくなります。むし歯や歯周病のリスクが高まりますので、丁寧に磨いたり、定期的なメンテナンスを受けたりすることが重要です。また、歯が動くと隠れていたむし歯が見えるようになることがあります。
  • 歯を動かすことにより歯根が吸収して短くなることがあります。また、歯ぐきがやせて下がることがあります。
  • ごくまれに歯が骨と癒着していて歯が動かないことがあります。
  • ごくまれに歯を動かすことで神経が障害を受けて壊死することがあります。
  • 治療途中に金属等のアレルギー症状が出ることがあります。
  • 治療中に『顎関節で音が鳴る、顎が痛い、口が開けにくい』などの顎関節症状が出ることがあります。
  • 様々な問題により、当初予定した治療計画を変更する可能性があります。
  • 歯の形を修正したり、咬み合わせの微調整を行ったりすることがあります。
  • 矯正装置を誤飲する可能性があります。
  • 装置を外す時に、エナメル質に微小な亀裂が入る可能性や、かぶせ物(補綴物)の一部が破損する可能性があります。
  • 装置が外れた後、補綴装置を指示通り利用しないと後戻りが生じる可能性があります。
  • 装置が外れた後、現在の咬み合わせに合った状態のかぶせ物(補綴物)やむし歯の治療(修復物)などをやり直す可能性があります。
  • 顎の成長発育により咬み合わせや歯並びが変化する可能性があります。
  • 治療後に親知らずが生えて、凹凸が生じる可能性があります。加齢や歯周病等により歯を支えている骨がやせると咬み合わせや歯並びが変化することがあります。その場合、再治療等が必要になることがあります。
  • 矯正歯科治療は、一度始めると元の状態に戻すことは難しくなります。

外科的矯正治療を行った下顎前突の症例

外科的矯正治療を行った下顎前突の症例

 

34歳女性。

顎骨の成長終了後に、再度、外科的矯正治療を行った症例です。

歯の排列は非抜歯で治療を行いました。

使用した矯正装置は、マルチブラケット装置です。

 

矯正治療期間:1年9ヶ月

矯正治療費用:保険適用

 

 治療前

 

 矯正治療中

 

 手術前

 

 治療後

 

 

 

 

 

矯正歯科治療に伴う一般的なリスクや副作用について

  • 最初は矯正治療による不快感、痛み等があります。数日間〜1、2週間で慣れることが多いです。
  • 歯の動き方には個人差があります。そのため、予想された治療期間が延長する可能性があります。
  • 装置の利用状況、顎関ゴムの利用状況、定期的な通院等、矯正治療には患者様の協力が非常に重要であり、それらが治療結果や治療期間に影響します。
  • 治療中は、装置がついているため歯が磨きにくなります。むし歯や歯周病のリスクが高まりますので、丁寧に磨いたり、定期的なメンテナンスを受けたりすることが重要です。また、歯が動くと隠れていたむし歯が見えるようになることがあります。
  • 歯を動かすことにより歯根が吸収して短くなることがあります。また、歯ぐきがやせて下がることがあります。
  • ごくまれに歯が骨と癒着していて歯が動かないことがあります。
  • ごくまれに歯を動かすことで神経が障害を受けて壊死することがあります。
  • 治療途中に金属等のアレルギー症状が出ることがあります。
  • 治療中に『顎関節で音が鳴る、顎が痛い、口が開けにくい』などの顎関節症状が出ることがあります。
  • 様々な問題により、当初予定した治療計画を変更する可能性があります。
  • 歯の形を修正したり、咬み合わせの微調整を行ったりすることがあります。
  • 矯正装置を誤飲する可能性があります。
  • 装置を外す時に、エナメル質に微小な亀裂が入る可能性や、かぶせ物(補綴物)の一部が破損する可能性があります。
  • 装置が外れた後、補綴装置を指示通り利用しないと後戻りが生じる可能性があります。
  • 装置が外れた後、現在の咬み合わせに合った状態のかぶせ物(補綴物)やむし歯の治療(修復物)などをやり直す可能性があります。
  • 顎の成長発育により咬み合わせや歯並びが変化する可能性があります。
  • 治療後に親知らずが生えて、凹凸が生じる可能性があります。加齢や歯周病等により歯を支えている骨がやせると咬み合わせや歯並びが変化することがあります。その場合、再治療等が必要になることがあります。
  • 矯正歯科治療は、一度始めると元の状態に戻すことは難しくなります。

上顎前突(出っ歯)及びすきっ歯・口唇閉鎖不全の症例

上顎前突(出っ歯)及びすきっ歯・口唇閉鎖不全の症例

 

初診時年齢29歳女性の症例です。

主訴は、出っ歯のため口が閉じにくいことと、全体的に歯が咬み合わないということでした。

スプリント治療にて顎位を安定させてから、顎手術を伴う外科的小臼歯矯正治療を他院にて行いました。

小学生の時に小臼歯を抜歯をしていたため、歯の排列は非抜歯で治療を行いました。

使用した矯正装置はマルチブラケット装置です。

 

矯正治療費用:保険適用

矯正治療期間:2年7ヶ月

 

 

 治療前

 

 矯正治療中

 

 手術前

 

 治療後

 

 

 

 

 

矯正歯科治療に伴う一般的なリスクや副作用について

  • 最初は矯正治療による不快感、痛み等があります。数日間〜1、2週間で慣れることが多いです。
  • 歯の動き方には個人差があります。そのため、予想された治療期間が延長する可能性があります。
  • 装置の利用状況、顎関ゴムの利用状況、定期的な通院等、矯正治療には患者様の協力が非常に重要であり、それらが治療結果や治療期間に影響します。
  • 治療中は、装置がついているため歯が磨きにくなります。むし歯や歯周病のリスクが高まりますので、丁寧に磨いたり、定期的なメンテナンスを受けたりすることが重要です。また、歯が動くと隠れていたむし歯が見えるようになることがあります。
  • 歯を動かすことにより歯根が吸収して短くなることがあります。また、歯ぐきがやせて下がることがあります。
  • ごくまれに歯が骨と癒着していて歯が動かないことがあります。
  • ごくまれに歯を動かすことで神経が障害を受けて壊死することがあります。
  • 治療途中に金属等のアレルギー症状が出ることがあります。
  • 治療中に『顎関節で音が鳴る、顎が痛い、口が開けにくい』などの顎関節症状が出ることがあります。
  • 様々な問題により、当初予定した治療計画を変更する可能性があります。
  • 歯の形を修正したり、咬み合わせの微調整を行ったりすることがあります。
  • 矯正装置を誤飲する可能性があります。
  • 装置を外す時に、エナメル質に微小な亀裂が入る可能性や、かぶせ物(補綴物)の一部が破損する可能性があります。
  • 装置が外れた後、補綴装置を指示通り利用しないと後戻りが生じる可能性があります。
  • 装置が外れた後、現在の咬み合わせに合った状態のかぶせ物(補綴物)やむし歯の治療(修復物)などをやり直す可能性があります。
  • 顎の成長発育により咬み合わせや歯並びが変化する可能性があります。
  • 治療後に親知らずが生えて、凹凸が生じる可能性があります。加齢や歯周病等により歯を支えている骨がやせると咬み合わせや歯並びが変化することがあります。その場合、再治療等が必要になることがあります。
  • 矯正歯科治療は、一度始めると元の状態に戻すことは難しくなります。

 

顎関節症、前歯先欠を伴う上顎前突の症例

顎関節症および下顎前歯先天性欠損を伴う上顎前突の症例

 

初診時年齢15歳5ヶ月の女性の症例です。

主訴は、出っ歯、前歯のデコボコ、顎関節症でした。

歯ぎしり、頭痛、耳鳴りを認めたため、はじめにスプリント治療にて顎位の安定と諸症状の転減をはかり、その後矯正治療を行いました。

歯の排列は、上顎両側小臼歯を抜歯して治療を行い、使用した装置は、インプラントアンカーとマルチブラケット装置です。

 

矯正治療費用:¥990,000

矯正治療期間:2年4ヶ月

 

 

 

 治療前

 

 矯正治療中

 

 治療後

 

 

 

 

 

矯正歯科治療に伴う一般的なリスクや副作用について

  • 最初は矯正治療による不快感、痛み等があります。数日間〜1、2週間で慣れることが多いです。
  • 歯の動き方には個人差があります。そのため、予想された治療期間が延長する可能性があります。
  • 装置の利用状況、顎関ゴムの利用状況、定期的な通院等、矯正治療には患者様の協力が非常に重要であり、それらが治療結果や治療期間に影響します。
  • 治療中は、装置がついているため歯が磨きにくなります。むし歯や歯周病のリスクが高まりますので、丁寧に磨いたり、定期的なメンテナンスを受けたりすることが重要です。また、歯が動くと隠れていたむし歯が見えるようになることがあります。
  • 歯を動かすことにより歯根が吸収して短くなることがあります。また、歯ぐきがやせて下がることがあります。
  • ごくまれに歯が骨と癒着していて歯が動かないことがあります。
  • ごくまれに歯を動かすことで神経が障害を受けて壊死することがあります。
  • 治療途中に金属等のアレルギー症状が出ることがあります。
  • 治療中に『顎関節で音が鳴る、顎が痛い、口が開けにくい』などの顎関節症状が出ることがあります。
  • 様々な問題により、当初予定した治療計画を変更する可能性があります。
  • 歯の形を修正したり、咬み合わせの微調整を行ったりすることがあります。
  • 矯正装置を誤飲する可能性があります。
  • 装置を外す時に、エナメル質に微小な亀裂が入る可能性や、かぶせ物(補綴物)の一部が破損する可能性があります。
  • 装置が外れた後、補綴装置を指示通り利用しないと後戻りが生じる可能性があります。
  • 装置が外れた後、現在の咬み合わせに合った状態のかぶせ物(補綴物)やむし歯の治療(修復物)などをやり直す可能性があります。
  • 顎の成長発育により咬み合わせや歯並びが変化する可能性があります。
  • 治療後に親知らずが生えて、凹凸が生じる可能性があります。加齢や歯周病等により歯を支えている骨がやせると咬み合わせや歯並びが変化することがあります。その場合、再治療等が必要になることがあります。
  • 矯正歯科治療は、一度始めると元の状態に戻すことは難しくなります。

 

下顎前歯の癒合歯を伴う叢生症例

成長期における下顎前歯の癒合歯を伴うAngle Ⅰ級叢生の症例。

 

初診時12歳4ヶ月、女性の症例です。

前歯のデコボコと八重歯を主訴に来院されました。

歯ぎしりを認めたため、はじめにスプリント治療にて顎位の安定化と下顎骨の成長抑制の予防を行いました。

その後、動的矯正治療を行いました。

歯の排列は、上下両側5番を抜歯して治療を行い、使用した矯正装置はマルチブラケット装置です。

 

矯正治療期間:2年2ヶ月

矯正治療費用:¥990,000

 

 

 

 矯正治療前

 

 矯正治療中

 

 治療後

 

 

 

 

矯正歯科治療に伴う一般的なリスクや副作用について

  • 最初は矯正治療による不快感、痛み等があります。数日間〜1、2週間で慣れることが多いです。
  • 歯の動き方には個人差があります。そのため、予想された治療期間が延長する可能性があります。
  • 装置の利用状況、顎関ゴムの利用状況、定期的な通院等、矯正治療には患者様の協力が非常に重要であり、それらが治療結果や治療期間に影響します。
  • 治療中は、装置がついているため歯が磨きにくなります。むし歯や歯周病のリスクが高まりますので、丁寧に磨いたり、定期的なメンテナンスを受けたりすることが重要です。また、歯が動くと隠れていたむし歯が見えるようになることがあります。
  • 歯を動かすことにより歯根が吸収して短くなることがあります。また、歯ぐきがやせて下がることがあります。
  • ごくまれに歯が骨と癒着していて歯が動かないことがあります。
  • ごくまれに歯を動かすことで神経が障害を受けて壊死することがあります。
  • 治療途中に金属等のアレルギー症状が出ることがあります。
  • 治療中に『顎関節で音が鳴る、顎が痛い、口が開けにくい』などの顎関節症状が出ることがあります。
  • 様々な問題により、当初予定した治療計画を変更する可能性があります。
  • 歯の形を修正したり、咬み合わせの微調整を行ったりすることがあります。
  • 矯正装置を誤飲する可能性があります。
  • 装置を外す時に、エナメル質に微小な亀裂が入る可能性や、かぶせ物(補綴物)の一部が破損する可能性があります。
  • 装置が外れた後、補綴装置を指示通り利用しないと後戻りが生じる可能性があります。
  • 装置が外れた後、現在の咬み合わせに合った状態のかぶせ物(補綴物)やむし歯の治療(修復物)などをやり直す可能性があります。
  • 顎の成長発育により咬み合わせや歯並びが変化する可能性があります。
  • 治療後に親知らずが生えて、凹凸が生じる可能性があります。加齢や歯周病等により歯を支えている骨がやせると咬み合わせや歯並びが変化することがあります。その場合、再治療等が必要になることがあります。
  • 矯正歯科治療は、一度始めると元の状態に戻すことは難しくなります。