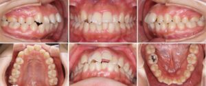
叢生(デコボコ)、口元突出、口唇閉鎖不全の大人の矯正治療 24才女性

酒井矯正歯科クリニックブログ

愛知(名古屋・名古屋市)の矯正歯科・矯正なら仕上がりの美しい酒井矯正歯科クリニック

叢生(デコボコ)、口元突出、口唇閉鎖不全の大人の矯正治療 24才女性

こんにちは。愛知県名古屋市名古屋駅、酒井矯正歯科クリニック、酒井聡です。

叢生(デコボコ)、口元突出、口唇閉鎖不全を主訴とした大人の矯正治療についてご紹介いたします。

24才女性の症例です。

「前歯のデコボコが気になる、結婚式までに綺麗にしたい」と相談に来られました。

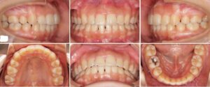
詳しく調べてみると、顎の位置も不安定であった為、まず「顎の位置を安定させる装置(スプリント)」を使って、顎位の安定を図りました。

その後、矯正治療を行いました。

上下の左右4番の歯を抜歯し、マルチブラケット装置(ワイヤーの装置)や上顎に力をかける器具(パラタルバー)、アンカースクリューを使って歯列と咬合の改善を図りました。

 

 

矯正治療費用:¥1,034,000

矯正治療期間:2年7ヶ月

矯正治療回数:19回

 

 

治療前

 

 

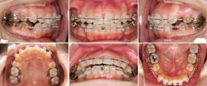
治療中

 

 

治療後

 

 

 

 

 

矯正歯科治療に伴う一般的なリスクや副作用について

  • 最初は矯正治療による不快感、痛み等があります。数日間〜1、2週間で慣れることが多いです。
  • 歯の動き方には個人差があります。そのため、予想された治療期間が延長する可能性があります。
  • 装置の利用状況、顎関ゴムの利用状況、定期的な通院等、矯正治療には患者様の協力が非常に重要であり、それらが治療結果や治療期間に影響します。
  • 治療中は、装置がついているため歯が磨きにくなります。むし歯や歯周病のリスクが高まりますので、丁寧に磨いたり、定期的なメンテナンスを受けたりすることが重要です。また、歯が動くと隠れていたむし歯が見えるようになることがあります。
  • 歯を動かすことにより歯根が吸収して短くなることがあります。また、歯ぐきがやせて下がることがあります。
  • ごくまれに歯が骨と癒着していて歯が動かないことがあります。
  • ごくまれに歯を動かすことで神経が障害を受けて壊死することがあります。
  • 治療途中に金属等のアレルギー症状が出ることがあります。
  • 治療中に『顎関節で音が鳴る、顎が痛い、口が開けにくい』などの顎関節症状が出ることがあります。
  • 様々な問題により、当初予定した治療計画を変更する可能性があります。
  • 歯の形を修正したり、咬み合わせの微調整を行ったりすることがあります。
  • 矯正装置を誤飲する可能性があります。
  • 装置を外す時に、エナメル質に微小な亀裂が入る可能性や、かぶせ物(補綴物)の一部が破損する可能性があります。
  • 装置が外れた後、補綴装置を指示通り利用しないと後戻りが生じる可能性があります。
  • 装置が外れた後、現在の咬み合わせに合った状態のかぶせ物(補綴物)やむし歯の治療(修復物)などをやり直す可能性があります。
  • 顎の成長発育により咬み合わせや歯並びが変化する可能性があります。
  • 治療後に親知らずが生えて、凹凸が生じる可能性があります。加齢や歯周病等により歯を支えている骨がやせると咬み合わせや歯並びが変化することがあります。その場合、再治療等が必要になることがあります。
  • 矯正歯科治療は、一度始めると元の状態に戻すことは難しくなります